В Оренбурге рентген-хирурги вытащили тромб из лёгких тяжёлого пациента

Селективный тромболизис при массивной тромбоэмболии легочной артерии выполнили медики Оренбургской областной клинической больницы им.

Селективный тромболизис при массивной тромбоэмболии легочной артерии выполнили медики Оренбургской областной клинической больницы им. В.И. Войнова.

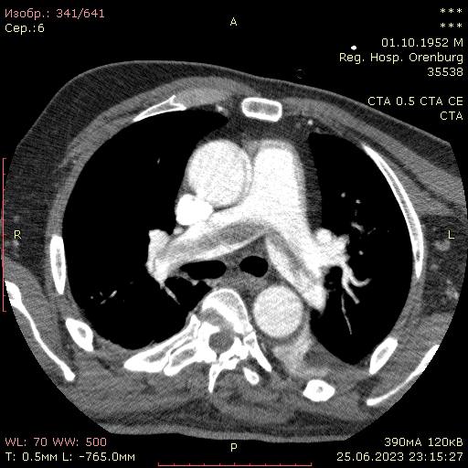
В медучреждении проходил лечение 70-летний пациент у которого течение основного заболевания осложнилось массивной тромбоэмболией легочной артерии. КТ-ангиопульмонография выявила, что тромб больших размеров, располагается в легочном стволе с переходом в обе легочные артерии.

Мужчина находился в крайне тяжелом состоянии. Выполнение системного тромболизиса было связано с высоким риском кровотечения из послеоперационных ран и других возможных источников. Консилиум принял решение провести селективный тромболизис легочных артерий.

Бригада медиков под руководством рентгенохирурга Алексея Желудкова провела селективный тромболизис легочных артерий по стандартной методике.

Через правую внутреннюю яремную вену катетером Pig был катетризирован начальный отдел правой легочной артерии. Катетером через него врачи ввели 20 мг тромболитического препарата. Подобную процедуру провели в левой легочной артерии. Еще 10 мг тромболитического средства ввели пациенту в легочный ствол.

После операции состояние пациента улучшилось. У мужчины уменьшилась одышка, повысилась сатурация кислорода. Через 5 дней после процедуры контрольная КТ-ангиопульмонографии показала, что легочный ствол и легочные артерии свободны от тромбов, единичные фрагменты тромбов есть в мелких ветвях легочных артерий, что свидетельствует об эффективности проведенного вмешательства.









Агрегатор новостей 24СМИ

Последние новости

Влияние условий эксплуатации на работу частотного преобразователя

Факторы, влияющие на работу и срок службы частотного преобразователя.

В Оренбурге у 76-летней пенсионерки мошенники похитили 240 тысяч рублей

Мошенники. Фото из архива В Оренбурге у 76-летней пенсионерки мошенники похитили 240 тысяч рублей.

Пенсии повысили, но не всем

Жителям Оренбургской области проиндексированы социальные пенсии. Выплаты выросли на 14,75 процента.

Коррекция фиброза и возрастных изменений: когда показан эндотканевой лифтинг

Как современная технология помогает вернуть коже упругость, убрать отёки и улучшить рельеф без хирургии

На этом сайте представлены актуальные варианты, чтобы снять квартиру в Новочеркасске на выгодных условиях

Комментарии (0)

Добавить комментарий

Ваш email не публикуется. Обязательные поля отмечены *