В Оренбурге хирурги провели сложную операцию на позвоночнике девочки, упавшей с качелей

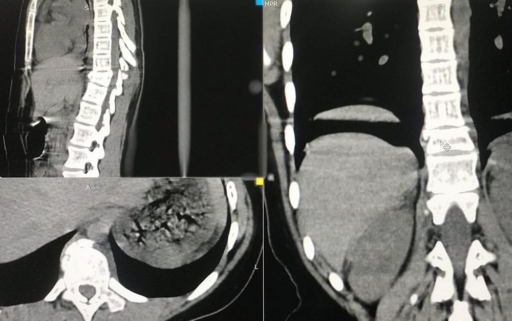
4 мая хирурги-травматологи Областной детской клинической больницы провели сложную трёхчасовую операцию на позвоночнике ребёнка и установили специальную фиксирующую конструкцию.

4 мая хирурги-травматологи Областной детской клинической больницы провели сложную трёхчасовую операцию на позвоночнике ребёнка и установили специальную фиксирующую конструкцию.

В последних числах апреля девочка каталась с друзьями на качелях и упала. Врачи диагностировали перелом позвоночника с деформацией и ушибы внутренних органов.

Было принято решение о проведении операции под полным рентген-контролем. Оперативное вмешательство выполнили Дмитрий Казюлин и Иван Четвериков, за рентген-аппаратом работал Олег Игнатов.

12 мая девочку выписали. Прогнозы врачей пока очень осторожные.

Оренбуржье

Последние новости

Влияние условий эксплуатации на работу частотного преобразователя

Факторы, влияющие на работу и срок службы частотного преобразователя.

В Оренбурге у 76-летней пенсионерки мошенники похитили 240 тысяч рублей

Мошенники. Фото из архива В Оренбурге у 76-летней пенсионерки мошенники похитили 240 тысяч рублей.

Пенсии повысили, но не всем

Жителям Оренбургской области проиндексированы социальные пенсии. Выплаты выросли на 14,75 процента.

Когда скидки превращаются в ловушку: как маркетологи учат нас тратить

Почему “-50% только сегодня” не всегда значит выгоду, как скидки играют на эмоциях и почему даже рациональные люди становятся жертвами маркетинговых трюков.

На этом сайте вы найдете актуальные вакансии в Железногорске с предложениями работы от ведущих работодателей города

Комментарии (0)

Добавить комментарий

Ваш email не публикуется. Обязательные поля отмечены *