В Оренбурге хирурги прооперировали 12-летнего пациента со сложным диагнозом

В Оренбургской областной детской клинической больнице провели серьезное хирургическое лечение 12-летнему ребенку со сложным диагнозом.

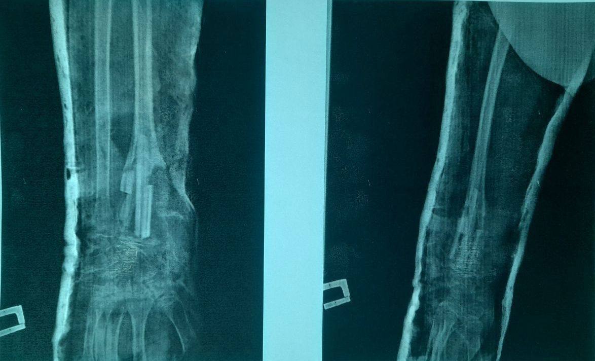
В Оренбургской областной детской клинической больнице провели серьезное хирургическое лечение 12-летнему ребенку со сложным диагнозом. У подростка выявили доброкачественное опухолеподобное поражение костей, состоящее из многочисленных сосудистых пространств с кровью.

У юного пациента диагностировали аневризмальную кисту лучевой кости, сообщили в клинике. Мальчика уже оперировали в ноябре 2022   года. Ему проводили экскохлеацию образования и гистологическое исследование. Затем сделали костную пластику аллотранспантатом. Тогда на гистологии и подтвердился диагноз «аневризмальная киста».

Специалисты промыли полость кисты аминокапроновой кислотой. Однако через полгода патология не изменилась в лучшую сторону. Повторную операцию назначили на 23 сентября. Хирурги провели ребёнку   резекцию тканей, имеющих патологию. Также врачи провели костную пластику аутотрансплантатом — это собственная костная ткань человека. Сейчас школьник находится под наблюдением врачей областной детской больницы.

Фото: ОДКБ









Агрегатор новостей 24СМИ

Последние новости

Влияние условий эксплуатации на работу частотного преобразователя

Факторы, влияющие на работу и срок службы частотного преобразователя.

В Оренбурге у 76-летней пенсионерки мошенники похитили 240 тысяч рублей

Мошенники. Фото из архива В Оренбурге у 76-летней пенсионерки мошенники похитили 240 тысяч рублей.

Пенсии повысили, но не всем

Жителям Оренбургской области проиндексированы социальные пенсии. Выплаты выросли на 14,75 процента.

Коррекция фиброза и возрастных изменений: когда показан эндотканевой лифтинг

Как современная технология помогает вернуть коже упругость, убрать отёки и улучшить рельеф без хирургии

Здесь вы можете узнать о лучших предложениях и выгодных условиях, чтобы купить квартиру в Октябрьском

Комментарии (0)

Добавить комментарий

Ваш email не публикуется. Обязательные поля отмечены *